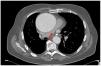
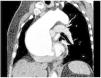
A 78-year-old male with arterial hypertension and dyslipidemia presented due to recurrent sudden syncopal episodes. Upon arrival in the emergency room, he appeared to be in good condition, with a tendency towards hypertension, tachycardia and tachypnea, with good oxygen saturation. The laboratory tests indicated impaired renal function with moderate hyperlactacidemia and D dimer elevation. With the suspicion of pulmonary thromboembolism (PTE), a thoracic CT scan was requested (Fig. 1), which discarded PTE. The study was extended with CT angiography of the thoracic aorta (Fig. 2), which identified an 8.6-cm supravalvular aneurysmal dilatation of the ascending aorta (Fig. 3), with an important mass effect and affecting the trunk of the pulmonary artery (red arrow in Fig. 1). Elective surgery was performed for replacement of the aneurysm with a supracoronary aortic tube. The postoperative clinical course was good, and the patient was discharged.
Please cite this article as: Salinas I, Mohamed M, Diez Pérez de las Vacas MI. Aparente tromboembolismo pulmonar en paciente con aneurisma de aorta ascendente. Med Intensiva. 2022;46:295.





