Sr. Director:
El feocromocitoma es un tumor poco frecuente, con una incidencia de 1-2 casos/100.000 habitantes/año y una prevalencia en la población hipertensa del 0,1%. La manifestación clínica principal es la hipertensión arterial (HTA), aunque puede producir gran diversidad de signos y síntomas, todo ello derivado de la distribución de receptores adrenérgicos por el organismo1.
Presentamos el caso de un varón de 19 años, sin antecedentes personales de interés, que presentó un cuadro de 10 días de evolución de dolor abdominal difuso, vómitos alimenticios y estreñimiento. Refería en los 2 últimos años episodios similares acompañados de disnea a medianos esfuerzos y cefaleas frontales. En ninguna ocasión se tomó la presión arterial (PA).
En la exploración destacó: PA 200/150 mmHg, frecuencia cardíaca rítmica a 120 pulsaciones por minuto, sudación profusa. No tenía taquipnea ni fiebre; presentaba un dolor abdominal difuso sin visceromegalias. El electrocardiograma evidenciaba taquicardia sinusal a 120 lat/min y signos de hipertrofia ventricular izquierda. La radiografía de tórax y la analítica eran normales. La ecografía abdominal reveló una masa en la glándula suprarrenal derecha de 5 * 4 cm sugestiva de tumoración.
El paciente ingresó en la UCI para un control de la crisis hipertensiva. Se inició tratamiento con labetalol y, posteriormente, se añadió doxazosina.
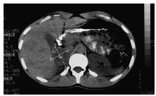
En la TC abdominal (fig. 1) se apreció una masa en la glándula suprarrenal derecha de 5,5 * 4 * 7 cm; con una zona de hipodensidad central que podría corresponder a una necrosis tumoral. Las catecolaminas y sus metabolitos se encontraban elevados en la orina, así como la noradrenalina plasmática. Se practicó una gammagrafía con metaiodobencilguanidina, observándose una captación patológica en la región suprarrenal derecha; en el tórax y el abdomen no se encontraron focos ectópicos. La ecocardiografía evidenció una hipertrofia concéntrica del ventrículo izquierdo con espesores de 18 mm en el tabique interventricular y 17 mm en la pared posterior, siendo la fracción de eyección del 56%. Todos estos resultados eran compatibles con feocromocitoma hiperfuncionante. Se intervino quirúrgicamente sin incidencias, siendo el diagnóstico anatomopatológico de feocromocitoma suprarrenal derecho. En revisiones posteriores se ha normalizado la PA y ha desaparecido la sintomatología adrenérgica. Los signos de miocardiopatía hipertrófica han desaparecido, observándose actualmente una fracción de eyección del 70% y un espesor del tabique interventricular y la pared posterior de 10 y 9 mm, respectivamente.
Fig. 1. TC abdominal que pone de manifiesto la presencia de una masa en la glándula suprarrenal derecha.
Las formas de presentación de los feocromocitomas pueden ser múltiples, pero la principal es la HTA ya sea de forma mantenida o paroxística. En nuestro caso se trata de una HTA mantenida, que probablemente haya presentado una crisis, al coincidir una imagen de necrosis tumoral y presentar estigmas de cronicidad como la miocardiopatía. La HTA se debe a una secreción aumentada de catecolaminas por el tumor sin que exista un paralelismo estrecho entre el grado de HTA y las concentraciones plasmáticas de las mismas. Las crisis paroxísticas se presentan en la mayoría de las ocasiones sin causa clara, probablemente debidas a microinfartos tumorales, como en el caso que nos ocupa, pero en otras ocasiones podemos encontrar factores precipitantes, como ciertos fármacos (antidepresivos tricíclicos, antidopaminérgicos), el ejercicio, la cirugía, el parto y situaciones que aumenten la presión intraabdominal2.
Los feocromocitomas pueden originar otras manifestaciones clínicas, la mayoría de ellas de origen cardiovascular, como la cardiopatía catecolamínica por efecto mantenido de las catecolaminas circulantes, aumentando el consumo de oxígeno miocárdico y dando lugar a fenómenos de vasospasmo que pueden desencadenar arritmias y síndromes coronarios agudos, aun en ausencia de coronariopatía3. Otras manifestaciones serían las miocardiopatías, ya sean hipertróficas, como en el presente caso, o dilatadas y siempre asociadas a arritmias y diversos cuadros de insuficiencia cardíaca4. Nuestro paciente había presentado episodios de disnea y en la ecocardiografía se observó una fracción de eyección deprimida. Igualmente, está descrita la regresión de estas alteraciones tras la resección del tumor, como hemos podido comprobar en este caso5.



