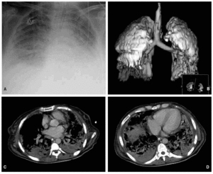
La exploración radiológica corresponde a una paciente de 43 años de edad, ingresada por una neumonía bilateral con cultivo de broncoaspirado positivo para Streptococcus agalactiae. Desarrolló un síndrome de distrés respiratorio agudo (SDRA), por lo que fue tratada mediante estrategias ventilatorias protectoras del pulmón, utilizando valores de presión positiva telespiratoria (PEEP) y volumen circulante de acuerdo con los datos aportados por la curva de presión/volumen. A los 20 días de evolución de dicho SDRA se realizó una tomografía computarizada (TC), en ventilación controlada por volumen, con un volumen circulante de 400 ml, una presión pausa de 30 cmH2O y una PEEP de 10 cmH2O. La imagen superior izquierda (A) corresponde a la radiografía de tórax simple y en la imagen superior derecha (B) se muestra la reconstrucción tridimensional de pulmón, traquea y bronquios principales, obtenida a partir de los cortes de TC torácica. Las imágenes inferiores (C y D) corresponden a cortes convencionales de la TC torácica superior y basal. Son evidentes las irregularidades de la superficie pulmonar en relación con fenómenos de fibrosis, así como la falta de aireación de los lóbulos inferiores en relación con los superiores.
The Impact Factor measures the average number of citations received in a particular year by papers published in the journal during the two preceding years.
© Clarivate Analytics, Journal Citation Reports 2025
SRJ is a prestige metric based on the idea that not all citations are the same. SJR uses a similar algorithm as the Google page rank; it provides a quantitative and qualitative measure of the journal's impact.
See moreSNIP measures contextual citation impact by wighting citations based on the total number of citations in a subject field.
See more


