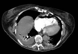
Figura 1.
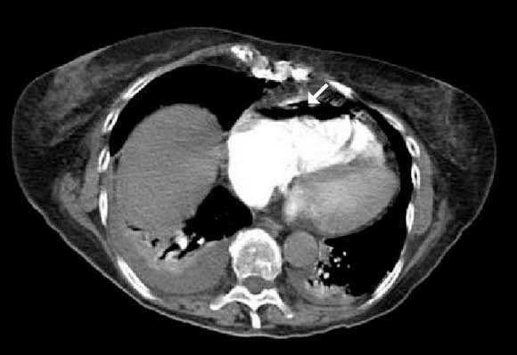
Figura 2.
Mujer de 75 años con antecedente de tromboembolismo pulmonar (TEP) y anticoagulada que ingresa por hematoma retroperitoneal espontáneo. Presenta hemoglobina de 4,8 g/dl e hipotensión, canalizándose dos vías venosas periféricas para reanimación con volumen y hemoderivados. Tras 48 horas desarrolla insuficiencia respiratoria aguda (PaO2/FiO2: 92), y ante la sospecha de nuevo TEP se realiza tomografía axial computarizada (TAC) de tórax, que evidencia aire en vena cava, arteria pulmonar y cavidades cardíacas derechas (figs.1 y 2). Ingresa en la Unidad de Cuidados Intensivos, donde es colocada en decúbito lateral izquierdo y se le administra O2 al 100% y tratamiento de soporte. Se intentó la aspiración del aire por vena subclavia derecha, sin objetivar salida de burbujas. En la TAC de control se comprobó la ausencia de aire en la vena cava, arteria pulmonar y cavidades derechas. La paciente fue dada de alta al tercer día con PaO2/FiO2 de 200.




