La nocardiosis es una infección oportunista infrecuente que afecta predominantemente a pacientes inmunodeprimidos, pero también a pacientes inmunocompetentes con enfermedad pulmonar obstructiva crónica (EPOC). Se define infección diseminada como la afectación de al menos dos órganos no contiguos o afectación aislada del sistema nervioso central (SNC)1. Aunque el tratamiento de elección es el trimetoprim/sulfametoxazol (TMP/SMX) existen cepas resistentes, lo que dificulta el manejo empírico inicial y puede condicionar el pronóstico2. Presentamos el caso de un varón con nocardiosis diseminada con afectación pulmonar, y probable del SNC y medular, en el que se documentó resistencia a TMP/SMX.
Varón de 57 años con antecedentes de diabetes mellitus tipo 2, hipertensión arterial, dislipemia, EPOC, y espondiloartrosis cervical y lumbar, en tratamiento crónico con corticoides por exacerbación del dolor en los últimos meses. En diciembre de 2024 precisó ingreso hospitalario por tromboembolismo pulmonar bilateral, identificándose en la tomografía computarizada (TC) torácica dos lesiones pseudonodulares de nueva aparición. Se solicitó un PET-TC que mostró captación en la lesión del lóbulo superior izquierdo, sugestiva de origen inflamatorio-infeccioso más que tumoral.
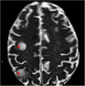
Pasados dos meses del último ingreso, acudió a urgencias por radiculopatía refractaria a analgesia convencional y pérdida de fuerza en miembros inferiores, destacando a la exploración paresia flácida de ambos miembros inferiores (0/5) y del miembro superior derecho (2/5). La resonancia magnética reveló múltiples lesiones ocupantes de espacio (12 en total) en territorio infra y supratentorial (fig. 1), así como un absceso intramedular a nivel C5–C6 (fig. 2).
Durante su ingreso en planta, presentó deterioro del nivel de conciencia (escala de Glasgow 8) e hipoxemia. Se realizó TC craneal sin hallazgos nuevos y se trasladó a la Unidad de Cuidados Intensivos (UCI), donde dado el bajo nivel de conciencia y la hipoxemia refractaria a pesar de ventilación mecánica no invasiva (VMNI), se procedió a intubación orotraqueal, punción lumbar y fibrobroncoscopia con toma de muestras. A su llegada a UCI, se inició tratamiento empírico con TMP/SMX 15mg/kg/día e isavuconazol con dosis de carga 200mg cada 8 horas los dos primeros días ante la sospecha de infección oportunista en paciente en tratamiento corticoideo. La procalcitonina al ingreso fue de 0,08 ng/mL. El análisis del líquido cefalorraquídeo (LCR) fue normal. Se realizó biopsia de nódulo pleuropulmonar del lóbulo superior izquierdo en el primer día de estancia en UCI por parte de radiología intervencionista, pero la muestra resultó insuficiente.
Dos días después de realizar la fibrobroncospia, avisa microbiología por aislamiento en el lavado broncoalveolar de bacilos grampositivos ramificados compatibles con Nocardia spp., por lo que al encontrarnos frente a una nocardiosis diseminada con probable afectación de SNC se añadió meropenem 2g cada 8h al tratamiento, suspendiéndose isavuconazol y manteniéndose TMP/SMX como terapia combinada a la espera de antibiograma. Durante los primeros días de estancia en UCI, presentó mioclonías y crisis comiciales, profundizándose sedoanalgesia e iniciándose tratamiento anticomicial. Se realizó electroencefalograma donde se describía actividad eléctrica enlentecida difusa, pero sin actividad eliptógena. Paulatinamente presentó mejor evolución desde el punto de vista respiratorio, con estabilidad hemodinámica y, tras retirada de sedación, no volvió a presentar crisis comiciales.
Habían pasado 12 días desde el resultado preliminar de Nocardia spp., cuando nos informa Microbiología de que se trata de Nocardia asteroides con sensibilidad a meropenem con concentración mínima inhibitoria (CMI) de 0,5 mcg/mL, sensibilidad a ceftriaxona con CMI 0,125 mcg/mL, pero destacando resistencia a TMP/SMX con CMI 8 mcg/mL, siendo este patrón de resistencia bastante inusual en esta especie; no obstante, a pesar de este patrón de resistencia atípico, Nocardia asteroides estaba cubierto adecuadamente gracias a la terapia combinada que se inició previamente ante el hallazgo de nocardiosis diseminada. Por tanto, dado los hallazgos microbiológicos, se suspendió TMP/SMX y ante la sensibilidad del microorganismo a ceftriaxona se desescaló el tratamiento antibiótico de meropenem a este último con dosis de 75mg/kg/día dividido en dos dosis3,4.
El paciente continuó con mejoría progresiva desde el punto de vista neurológico y respiratorio, iniciándose sesiones de fisioterapia, sin otra focalidad neurológica salvo la tetraparesia de predominio derecho secundaria a mielopatía ya conocida y miopatía del paciente crítico asociada, pero se logró la extubación con apoyo de VMNI tras 17 días de conexión a ventilación mecánica. Después de un mes de estancia en UCI, pudo ser trasladado a planta de hospitalización para continuar recuperación funcional.
Este caso subraya la importancia de considerar la nocardiosis en el diagnóstico diferencial de pacientes en tratamiento corticoideo, aunque también en pacientes inmunocompetentes con EPOC, que presentan lesiones cerebrales múltiples. La afectación medular en forma de absceso intramedular es una forma de presentación infrecuente que requiere un alto índice de sospecha. Es bien conocida la resistencia a TMP-SMX de varias especies de Nocardia5, pero es menos frecuente que Nocardia asteroides sea resistente a TMP/SMX6, siendo crucial el inicio de tratamiento combinado con al menos dos o tres antibióticos7, además del diagnóstico microbiológico precoz para instaurar un tratamiento dirigido adecuado.
FinanciaciónEl presente artículo no ha recibido ninguna beca específica de agencias de los sectores público, comercial, o sin ánimo de lucro.
Conflicto de interesesNinguno de los autores tiene ningún conflicto de intereses
Contribución de los autoresTodos los autores han contribuido por igual en la redacción de este manuscrito
Uso de inteligencia artificialNo se ha usado ningún tipo de inteligencia artificial para la redacción del manuscrito


