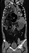
We present the case of a 49-year-old male treated with a hepatectomy due to hydatid cyst 3 years ago. He is admitted to the ER due to short-term intense pain at right renal fossa level; the blood test performed appears normal, and the abdominal ultrasound shows no pathological findings; the abdominal X-ray (Fig. 1) appears normal at the beginning; the medical examination confirms the lack of bowel pattern almost entirely with presence of air bubbles in right hypochondrium and iliac fossa. After being stabilized, the patient is admitted to the hospital floor with signs of nephritic colic. The patient’s clinical status becomes worse after the first 24 h and a TC scan is performed (Fig. 2) that reveals the presence of a large diaphragmatic hernia (1) with perforation and necrosis of large (2) and small intestine (3) accompanied by displacement of all thoracic viscera (4 and 5). Due to the situation of refractory septic shock, 3 surgeries are performed for large intestine resection due to massive ischemia. The patient’s progression is gradually good. He now rests in his home although with signs of short bowel syndrome.
Please cite this article as: Villalobos-Herrera T, Moya-Espinosa P, Pérez-Vacas J. Shock séptico y fracaso multiorgánico secundario a rotura intratorácica de hernia diafragmática masiva. Med Intensiva. 2021;45:323.




