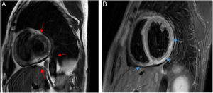
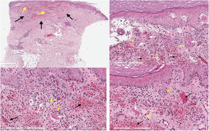
A woman presented with distributive shock, severe septic cardiomyopathy, and encephalopathy. She had sustained a dog bite several days prior. Capnocytophaga canimorsus was isolated from blood cultures. Coronary computed tomography angiography of the lower limbs revealed the presence of vascular involvement. Cardiac magnetic resonance imaging showed ventricular dilation and functional loss, with subepicardial edema (Fig. 1A, SAX T2MAp BH sequence, red arrow) and late gadolinium enhancement (Fig. 1B, SAX TIR BH sequence, blue arrow), consistent with myocarditis. A biopsy of the dermal lesions was performed (Fig. 2, hemorrhagic extravasation [black arrow]; leukocytoclastic vasculitis infiltration [yellow arrow]; and fibrinoid necrosis [white arrow]). The initial lesions are shown (Fig. 3A, purpura fulminans type) and weeks later, prior to distal amputation (Fig. 3B, established necrotic lesions, yellow arrow).
FundingNone declared.
None declared.





