El síndrome de encefalopatía posterior reversible (síndrome de PRES) es una entidad cliniconeuroradiológica introducida a finales de 1996 por Hinchey et al.1 Es un estado de neurotoxicidad acompañado de lesiones cerebrales características en las pruebas de imagen y caracterizado por la reversibilidad de los hallazgos. Las manifestaciones clínicas incluyen cefalea, encefalopatía, crisis comiciales y alteraciones visuales corticales2.
Caso clínicoVarón de 36 años, sin alergias conocidas, sin hábitos tóxicos y sin factores de riesgo cardiovascular. Como antecedente patológico presenta una osteosíntesis en la extremidad inferior derecha a los 13 años, con infección del material protésico con buena evolución con tratamiento antibiótico.
Acude a urgencias por dolor en muslo derecho, fiebre y odinofagia tratada con antitérmicos. Se realizan hemocultivos y se inicia tratamiento antibiótico empírico con meropenem. A las 24 horas presenta hemocultivos positivos para Estreptococo pyogenes (S. pyogenes), realizándose punción del muslo sin obtener muestra. Se cambia cobertura antibiótica a piperacilina-tazobactam y clindamicina. Presenta hipotensión arterial, acidosis láctica y coagulopatía. Se realiza ecografía de partes blandas con signos compatibles con miositis y líquido articular en rodilla, realizándose punción obteniendo líquido turbio con cocos gram positivos en la tinción de Gram. Ingresa en la unidad de cuidados intensivos (UCI) con shock séptico secundario a infección de partes blandas y fracaso multiorgánico.
Se decide intervención quirúrgica urgente realizándose desbridamiento de la rodilla obteniendo pus, viendo afectación hasta fascia con conservación del músculo. Evolución tórpida requiriendo revisión quirúrgica a las 24 horas ampliándose fasciotomías. Fracaso hemodinámico (noradrenalina hasta 1,8mcg/kg/min), lesión pulmonar aguda, fracaso renal agudo (terapia continua de reemplazo renal), fracaso hepático (hiperbilirrubinemia 9mg/dL) y coagulación intravascular diseminada (múltiples transfusiones de plasma, plaquetas y hematíes). Buena evolución con resolución de los fracasos orgánicos, realizándose a los 12 días de ingreso nueva intervención quirúrgica para colocación de injertos con shock hemorrágico en el postoperatorio inmediato, sin objetivar ningún vaso sangrante y con buena evolución con vendaje compresivo. Es dado de alta a planta de hospitalización tras 16 días de ingreso en UCI.
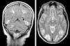
A los 11 días en planta presenta alteración visual con ceguera cortical a la exploración. El TC de cráneo muestra edema vasogénico posterior occipital (predominio izquierdo). Presenta crisis comiciales iniciándose tratamiento con valproato y se solicita RMN cráneo observándose imágenes compatibles con síndrome de PRES (áreas focales múltiples y confluentes hiperintensas en T2, iso-relativamente hipointensas en T1, sin traducción en difusión, preferentemente subcotico-yuxtacorticales afectando de forma simétrica a regiones parieto-occipitales posteriores, temporo-occipitales infero-laterales, frontales superior-medias y hemisféricas cerebelosas posteriores, y traduciendo la presencia de edema vasogénico) (fig. 1). En planta destaca hipertensión arterial con cifras de hasta 160mmHg de sistólica y 100mmHg de diastólica, ya presente previo al alta de UCI, y la persistencia del fracaso renal precisando hemodiálisis intermitente.
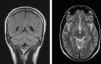
Es dado de alta a los 52 días de hospitalización con resolución de la clínica. RMN de cráneo de control ambulatoria tras 12 semanas de la clínica que es normal (fig. 2).
El síndrome de PRES suele desarrollarse en contexto de hipertensión aguda, fracaso renal o exposición a inmunosupresores. Se han descrito varios casos en UCI por preeclampsia o eclampsia3. Los trastornos metabólicos incluyen hipomagnesemia, hipocolesterolemia y exceso de aluminio. Con un diagnóstico precoz y un tratamiento rápido suele ser reversible4.
Los hallazgos radiológicos son necesarios para el diagnóstico. Incluyen áreas de edema vasogénico de predominio en la zona parieto-occipital y afectación de sustancia blanca profunda y estructuras infra-tentoriales. Se ha descrito la incidencia de regiones afectadas, siendo un 98,7% en zona parieto-occipital, 78,9% frontal posterior y 68,4% temporal5.
La fisiopatología tiene muchas teorías propuestas. La más aceptada propone una alteración en la autorregulación cerebral causada por los estados que causan un aumento rápido de la tensión arterial generando hipoperfusión y edema vasogénico. Otras implican disfunción endotelial, más característico en la preeclampsia, eclampsia y sepsis, y el vasoespasmo con la subsiguiente isquemia6. La sustancia blanca cerebral es la más involucrada, debido a su composición de fibras mielinizadas en una matriz de células gliales, arteriolas y capilares que hacen que sea una zona con más riesgo de edema vasogénico. El córtex es más organizado y se afecta menos.
No hay muchas publicaciones que relacionen el síndrome de PRES con la presencia de sepsis. Bartynski et al. demuestran una asociación del síndrome de PRES con infección, sepsis y shock, presentándose tras 2 semanas de la bacteriemia o infección (absceso, neumonía o infección ósea), y a los 30 días tras drenaje del foco o bacteriemia por gram positivos7.
Otros estudios describen que una tensión arterial sistólica por encima de 200mmHg o incrementos en una semana de un 35 a un 62% (con una media del 48%) se pueden asociar con la aparición del síndrome de PRES8. Se ha descrito un caso en contexto de la realización de artroscopia con infusión de epinefrina, con cambios bruscos de la TA9.
Nuestro paciente, tras 27 días del inicio de la infección presenta clínica compatible (alteraciones visuales y crisis comiciales) siendo confirmado por neuroimagen. Durante el ingreso en UCI presenta un incremento del 34% respecto a sus cifras basales de TA. Hay que destacar la presencia de labilidad hemodinámica durante el ingreso como una posible causa, además de la presencia de shock séptico secundario a fascitis necrotizante y artritis por S. pyogenes.
La neuroimagen es uno de los puntos clave en el diagnóstico, pero la sospecha clínica es un factor importante. El tratamiento incluye control de la TA (un descenso del 10% o 20% suele ser suficiente), suspender agentes tóxicos, corrección de las anormalidades electrolíticas y tratamiento de las crisis comiciales. Si la hipertensión no se llega a controlar puede aparecer infarto posterior o hemorragia.
Se trata de una enfermedad benigna y mayoritariamente reversible, sobre todo una vez conocido el factor causante y tras eliminarlo. Las imágenes radiológicas pueden persistir semanas, recomendando una prueba de imagen de seguimiento a las 4 o 6 semanas. Una vez resueltas las anormalidades radiológicas los pacientes no suelen requerir tratamiento anticomicial de forma crónica. Los clínicos que tratan pacientes con sepsis deben conocer esta entidad que puede complicar su curso clínico.




