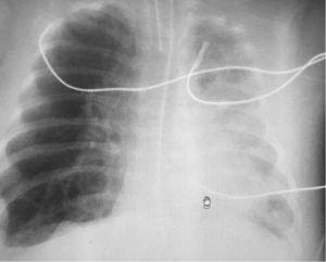
Paciente de 4 meses de edad, exprematuro de 24 semanas de gestación y con displasia broncopulmonar grave, conectado a ventilación mecánica (modalidad presión control con PIP 25cmH2O, PEEP 5,5cmH2O, FR 35rpm y FiO2 30%). El día que describimos, el paciente precisaba FiO2 de hasta el 50% y en la radiografía de tórax (fig. 1) mostraba hiperinsuflación intensa del hemitórax derecho y ausencia de deslizamiento pulmonar en la ecografía pulmonar (fig. 2). Dada la evolución de los pacientes con displasia broncopulmonar hacia la compresión dinámica de la vía aérea distal, se decidió incrementar progresivamente PEEP, sin mejoría ecográfica hasta llegar a una PEEP de 10cmH2O, donde se evidenció reaparición del deslizamiento pleural (fig. 3), y en la radiografía de tórax resolución parcial de la sobredistensión (fig. 4).
FinanciaciónLa autora no ha recibido financiación para describir este caso clínico.






