INTRODUCCIÓN
Las lesiones vasculares postraumáticas de la arteria carótida son poco frecuentes1, y presentan elevadas tasas de morbimortalidad. Aparecen asociadas a traumatismos craneofaciales y cervicales, generalmente originados por accidentes de tráfico2.
La protección de los vasos del cuello a cargo de las partes blandas y estructuras óseas puede ser vulnerada por varios mecanismos3: flexoextensión brusca cervical, fracturas mandibulares, cervicales, de la base del cráneo y traumatismos directos.
Presentamos a continuación el caso de un varón que sufrió un accidente de tráfico con lesiones óseas craneofaciales, la afección de la arteria carótida interna derecha en forma de seudoaneurisma y una rotura de las ramas de la arteria mandibular homola teral.
CASO CLÍNICO
Se trataba de un varón de 18 años que sufrió un accidente de motocicleta. Llegó a urgencias trasladado en ambulancia medicalizada con un importante traumatismo craneofacial, una abundante hemorragia por la cavidad oral y deterioro neurológico, las pupilas isocóricas y normorreactivas, con una puntuación de 7 en la escala de coma de Glasgow (GCS).
Se procedió a intubación orotraqueal y ventilación mecánica.
En la exploración inicial destacaba la presencia de un hematoma en la región facial y cervical derechas, acompañado de crepitación sobre el maxilar derecho. Presentaba una situación hemodinámica estable, con presión arterial de 140/70 mmHg y una frecuencia cardíaca de 120 lat/min. En el tórax se apreciaba un hematoma en la región de clavícula derecha y la auscultación pulmonar revelaba una hipofonesis en el hemitórax derecho, manteniendo saturaciones de oxígeno (Sa O2) del 96%. El abdomen no presentaba hallazgos patológicos y se constató la presencia de lesiones en la mano derecha con pérdida de sustancia en el tercer dedo.
Los datos de la analítica, la bioquímica, el hemograma, la coagulación y la gasometría arterial estaban dentro de rangos normales.
En la radiografía de tórax se observaba una fractura de clavícula y del primer arco costal derecho. El estudio cervical demostraba un engrosamiento de las partes blandas derechas sin alteraciones óseas. La tomografía computarizada (TC) craneal no revelaba datos de hemorragia cerebral ni lesiones parenquimatosas, presentando un pequeño grado de edema cerebral y fracturas en el hueso maxilar y las mandíbula derechas.
Tras su ingreso en UCI mantuvo una hemorragia profusa por boca, y el tamaño del hematoma cervical aumentó de forma progresiva, comenzando a deteriorarse hemodinámicamente.
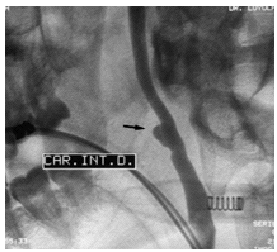
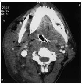
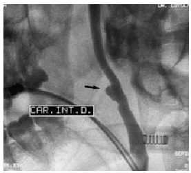
Se realizó una TC facial y cervical con contraste intravenoso (i.v.) apreciándose una fractura de la porción horizontal de la rama mandibular derecha con gran desplazamiento lateral y gran hematoma que ocupaba la parte lateral derecha del cuello. Llamaba la atención la pérdida de nitidez de los vasos en las ramas carotídeas derechas, estando nítida la vena yugular homolateral (fig. 1). Con estos hallazgos se sospechó una afección carotídea realizándose una arteriografía que permitió visualizar un aneurisma postraumático a 4 cm del origen de la carótida interna derecha (fig. 2) y la sección de una rama distal de la arteria mandibular con fuga de contraste. Se procedió a embolización de ambas ramas, con buen resultado.
Figura 1. TC cervical con contraste: se observa una pérdida de nitidez vascular en las ramas carotídeas derechas.
Figura 2. Arteriografía: carótida interna derecha que presenta un seudoaneurisma.
Tras la intervención cesó el crecimiento del hematoma y en días posteriores se observó su regresión progresiva. En estas condiciones, y estando el paciente pendiente de cirugía maxilofacial, no se inició anticoagulación como tratamiento del aneurisma. El enfermo precisó un cerclaje mandibular y una traqueotomía.
La evolución general fue favorable y permitió una precoz desconexión de la ventilación mecánica, dándose de alta a planta sin más complicaciones tras 10 días de ingreso en la unidad.
DISCUSION
La incidencia de lesión postraumática de la arteria carótida es de aproximadamente 1 por cada 1.000 pacientes que requieren ingreso hospitalario por traumatismos craneofaciales4-7. Presenta tasas variables de mortalidad (5-40%) y una elevada morbilidad neurológica (entre el 40 y el 80%)8.
Los accidentes de tráfico son la causa más frecuente, implicando mecanismos de hiperflexión, extensión o rotación cervical, impactos directos, fracturas mandibulares con desplazamiento y fracturas de cuerpos vertebrales cervicales.
Como consecuencia de dichos mecanismos podemos encontrar diferentes grados de lesión en la arteria carótida (tabla 1), desde pequeñas estenosis a secciones completas del vaso3. La disección es el hallazgo más frecuente8.
Inicialmente, la clínica es poco específica y puede quedar enmascarada por otras lesiones primarias en la cabeza y el cuello. Podemos encontrar signos directos, como hemorragias bucales, hematomas cervicales expansivos, síndrome de Claude-Bernard-Horner unilateral y datos neurológicos más tardíos, expresión de infartos cerebrales.
En estos primeros momentos, la lesión puede pasar inadvertida y no diagnosticarse hasta la aparición de complicaciones neurológicas irreversibles. Por ello, debemos prestar especial atención a la inspección primaria en busca de signos que puedan sugerir daños en las estructuras vasculares.
Las pruebas diagnósticas incluyen métodos no invasivos, como la ecografía-Doppler, la TC, la resonancia magnética (RM), y procedimientos cruentos, como la angiografía, considerada actualmente el estudio diagnóstico de elección1. La eco-Doppler es una prueba rápida y accesible en la mayoría de los centros, con una sensibilidad cercana al 92%8, pero presenta falsos negativos, no recomendándose su utilización como único método diagnóstico8,9.
En nuestro caso, el importante hematoma cervical dificultaba la obtención de datos fiables con dicha técnica.
Los hallazgos en la TC con contraste de la región cervical (angio-TC) pueden sugerir lesiones vasculares que precisan una mayor definición por otros medios. La angio-RM es el procedimiento no invasivo más útil con una sensibilidad y una especificidad del 95 y el 99%, respectivamente, para la detección de disecciones carotídeas8, por lo que algunos autores la consideran el método de elección en pacientes con sospecha de disección arterial1.
Actualmente, la angiografía es la técnica diagnóstica de referencia1,3,8 para estas lesiones, incluyendo su faceta terapéutica, que nos permite realizar, si es necesario durante el mismo acto, un tratamiento endovascular, tal y como ocurrió en el caso aquí descrito.
El tratamiento de estos pacientes depende del tipo de lesión, la localización de la misma y la enfermedad asociada. Abarca un amplio espectro, desde la conducta expectante al tratamiento quirúrgico, pasando por un tratamiento anticoagulante y/o endovascular.
No existen unas pautas firmemente establecidas, por lo que la decisión final es compleja y debe individualizarse en cada paciente.
Algunos autores recomiendan la reparación quirúrgica en lesiones accesibles de grados II, III, IV y V, y la anticoagulación en los grados II, III, IV cuando sean inaccesibles.
El tratamiento endovascular está indicado en el seudoaneurisma (grado III) y en el grado V inaccesible, debiéndose mantener una actitud expectante en el grado I3.
En nuestro caso se realizó una embolización de la arteria mandibular con buen resultado y, tras la valoración del seudoaneurisma de la carótida interna por el radiólogo intervencionista y el equipo de cirugía vascular, se adoptaron medidas conservadoras.
La presencia de un buen flujo carotídeo y la ausencia de lesiones neurológicas en el seguimiento posterior del enfermo reafirmó la actitud no intervencionista.
La necesidad de cirugía inminente por las lesiones asociadas impidió la terapia anticoagulante, presentando el enfermo una buena evolución sin complicaciones posteriores.
En pacientes traumáticos con afección del macizo craneofacial y/o la región cervical provocada por un mecanismo compatible, debemos tener en cuenta la posibilidad de encontrar lesiones en estructuras vasculares.
Ante la presencia de signos clínicos de alarma (hemorragias bucales, hematomas cervicales, etc.) recomendamos unos métodos diagnósticos adecuados para descartar de forma precoz estas lesiones, que pueden tener posteriormente graves e irreversibles consecuencias.





