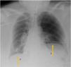
A 60-year-old patient with a history of emphysema who failed to wean from mechanical ventilation seven days after right-unilateral lung transplantation, an elevation of the left hemi-diaphragm was noticed (Fig. 1). To evaluate respiratory muscle mechanics transdiaphragmatic pressure (Pdi) was monitored during pressure support, revealing insufficient respiratory muscle strength showed in Pdi and ΔPgas/ΔPes ratio (Fig. 2, upper panel); as well in calculate partitioning pressure-time product (PTP) (Fig. 3). A remarkable biphasic morphology of Pdi during the inspiration was observed (Fig. 2, bottom panel), explained by the negative intrathoracic pressure drags the paretic and subsequent twitch of the competent hemi-diaphragm (arrows). This biphasic morphology of Pdi can distinguish hemi-diaphragm paralysis from other diaphragm dysfunction. The patient needs home ventilation.
FundingNo funding has been obtained for this work.
Conflict of interestWe declare that we have no conflict of interest.
Author contributionsMVM collected and analyzed the patient data and revised the manuscript. JRNI analyzed the patient data and revised the manuscript. JMSS designed the study, interpreted all data and wrote the manuscript.
Dr. Robles Arista JC, and Dra Carmona Sánchez P contributed to the recruitment of patients. Dra De La Fuente Martos MC in encouragement to finish this manuscript.





