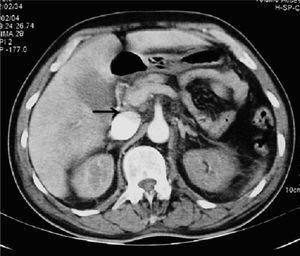
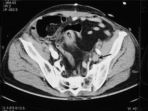
Varón de 62 años con antecedentes médicos de hipertensión arterial, resección transuretral de próstata hace 2 meses e infecciones urinarias de repetición tratadas con ciprofloxacino. Es intervenido de forma programada de adenocarcinoma de próstata, realizando resección prostática radical ampliada. Al cuarto día de postoperatorio presenta hipotensión arterial, oliguria, alteraciones de la coagulación compatibles con coagulación intravascular diseminada, y brusca disminución del hematocrito y de la hemoglobina (24% y 7,5 g/dl respectivamente). Es ingresado en la Unidad de Cuidados Intensivos (UCI) precisando perfusión de noradrenalina, trasfusión de 3 concentrados de hematíes, plaquetas y plasma fresco congelado, siendo intubado a las pocas horas de su ingreso tras disnea brusca. Se realizó tomografía axial computarizada toraco-abdominal de urgencia apreciando restos sanguíneos en vejiga y trombosis de eje esplenoportal y de vena ilíaca primitiva izquierda (figs. 1 y 2). Se implantó filtro en la vena cava inferior, una vez corregidas las alteraciones de la coagulación.
Figura 1
Figura 2




