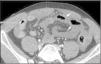
Varón de 31 años trasladado a urgencias de nuestro hospital por politraumatismo tras accidente de tráfico. Se realizó TC «total body» en donde se apreció hemoperitoneo, escaso neumoperitoneo y engrosamiento difuso de asas intestinales (fig. 1). Existía ausencia de realce tras contraste intravenoso (CIV) de un asa yeyunal, compatible con hipoperfusión (fig. 2) y focos de perforación intestinal (fig. 1). Se realizó cirugía urgente que confirmó el asa isquémica tras avulsión de vasos mesentéricos de pequeño calibre. La avulsión de los vasos mesentéricos por traumatismo abdominal cerrado es una entidad infrecuente, en especial sin lesión de víscera sólida asociada. Aunque el hematoma mesentérico o el extravasado de CIV son signos más específicos, debe sospecharse ante un segmento intestinal con pared engrosada e hipoperfundida, neumoperitoneo y hemoperitoneo sin lesión de víscera sólida.
El factor de impacto mide la media del número de citaciones recibidas en un año por trabajos publicados en la publicación durante los dos años anteriores.
© Clarivate Analytics, Journal Citation Reports 2025
SJR es una prestigiosa métrica basada en la idea de que todas las citaciones no son iguales. SJR usa un algoritmo similar al page rank de Google; es una medida cuantitativa y cualitativa al impacto de una publicación.
Ver másSNIP permite comparar el impacto de revistas de diferentes campos temáticos, corrigiendo las diferencias en la probabilidad de ser citado que existe entre revistas de distintas materias.
Ver másEl número medio de días que tarda un artículo desde su envío hasta la primera decisión editorial.
Ver más




