El acceso venoso utilizado para aproximar la sonda de un marcapasos al endocardio, se encuentra en la mayoría de los casos estandarizada mediante la vena cefálica, subclavia o yugular. Sin embargo, existen situaciones en donde no es posible utilizar la circulación venosa superior del tórax, por lo que en estos casos se suele presentar recurrencias a la estimulación epicárdica. Desafortunadamente, un marcapasos epicárdico presenta diferentes desventajas, incluyéndose entre ellas una mayor complejidad, riesgo durante su inserción y mayores umbrales de estimulación1. Así, en casos adecuadamente seleccionados, la estimulación permanente mediante un marcapasos implantado por vía femoral puede ser una opción adecuada.
La utilización de la vía femoral como acceso venoso para la estimulación definitiva fue descrita por primera vez por Ellestad et al. en 19802. Desde entonces, diferentes autores han utilizado esta vía para la estimulación permanente, siendo una técnica vigente, pero con escasas referencias en la literatura actual.
Presentamos 4 casos clínicos consecutivos de marcapasos definitivos implantados entre 2008 a 2014 a través de la vena femoral ya que no fue posible el acceso a través de la circulación superior del tórax.
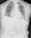
Paciente 1Mujer de 75 años de edad portadora de un marcapasos definitivo unicameral por una fibrilación auricular con respuesta ventricular lenta. Se realizó un primer implante en región prepectoral izquierda, y por úlcera de decúbito del generador y trombosis venosa a los 12 años se cambió al lado derecho. Trascurridos 2 años presentó de nuevo una úlcera, por lo que se decidió implante del marcapasos por vía femoral (fig. 1). La paciente hasta la actualidad no ha presentado ninguna complicación, incluyendo infecciones o dislocaciones del electrodo. A los 5 años, aproximadamente, precisó el recambio del generador por encontrarse en tiempo de reemplazo electivo implantándose en el mismo bolsillo.
Paciente 2Mujer de 61 años, que precisa implante de un marcapasos definitivo por bloqueo aurículo-ventricular. En el momento de su colocación se observó que la paciente presentaba trombosis bilateral de la circulación yugulo-subclavia, por lo que se colocó un marcapasos bicameral por vía femoral. Durante los 7 años trascurridos desde la colocación no se ha documentado ninguna complicación y la tolerancia ha sido adecuada.
Paciente 3Varón de 68 años, que por bloqueo trifascicular con síncope precisó implante de marcapasos definitivo bicameral. Al ser portador de un catéter permanente en subclavia derecha e imposibilidad de canalización de la subclavia izquierda por trombosis se recurrió a la vena femoral como vía de acceso. El paciente llevó el dispositivo durante aproximadamente un año sin complicaciones y normofuncionante, ya que transcurrido este tiempo falleció a consecuencia de una sepsis urinaria sin relación con el marcapasos.
Paciente 4Varón de 79 años al que se le implantó un marcapasos bicameral por bloqueo aurículo-ventricular. Por trombosis de la vena subclavia derecha y ante la imposibilidad de acceso venoso izquierdo por tener una fístula arterio-venosa en miembro superior para hemodiálisis, se decidió implante por vía femoral. El paciente llevó el marcapasos durante, aproximadamente, 3 años sin presentar complicaciones aunque falleció a consecuencia de una neoplasia.
De esta forma observamos que las indicaciones para un marcapasos femoral incluyen aquellos pacientes portadores previamente de marcapasos a través del territorio de la cava superior que presenten imposibilidad para la reutilización de dicha vía como consecuencia de infecciones repetidas, erosiones de la piel con exteriorización del sistema, enfermedades dermatológicas o cuando exista trombosis de vena cava superior o troncos braquio-cefálicos, y también la presencia de catéteres venosos permanentes o fístulas arteriovenosas. No obstante, esta vía no sustituye a la torácica superior como vía de elección ya que presenta mayor número de complicaciones.
En nuestros pacientes el abordaje se llevó a cabo mediante una modificación de la técnica3 descrita originariamente por Ellestad et al.2, alojando el generador en una bolsa realizada por debajo del ligamento inguinal (fig. 2). Aunque a priori, es fácil pensar que esta localización podría limitar la movilidad y suponer cierta incomodidad, en todos los casos ha sido bien tolerada sin molestias en la marcha ni en el bolsillo.
Esquema que representa la zona de realización de la bolsa del generador de forma caudal al ligamento inguinal.
El abordaje a través de la cava inferior parece que predispone al paciente a un mayor número de complicaciones, con un aumento del riesgo de infección, trombosis venosa y fallos de estimulación4,5. Otros autores, sin embargo, ponen en duda estas afirmaciones6,7. Además, el riesgo de erosión es menor por vía femoral que los marcapasos en región pectoral.
La principal complicación es la dislocación de los electrodos debido a la conformación geométrica que tienen que adoptar para la entrada en el ventrículo derecho y por la acción de la gravedad ejerciendo una fuerza sobre toda la longitud del electrodo. Desde un 35% de dislocaciones que describen Ellestad et al.2 en su primera serie, actualmente la tasa de desplazamiento del electrodo auricular oscila del 11 al 21% frente a un desplazamiento ventricular del 5 al 7%6, siendo los electrodos de fijación activa uno de los factores que probablemente más ha influido en este descenso. En nuestra serie no hemos objetivado dislocación de los electrodos ni mala función del dispositivo.
Está bien documentada la existencia de complicaciones incluida la trombosis venosa profunda en relación con la estimulación cardiaca transitoria por vía femoral (30% según las series)5,7. No obstante, aunque en la estimulación definitiva no se ha publicado un número suficiente de casos para establecer conclusiones definitivas, no parece que el riesgo de trombosis venosa sea un factor limitante8. Resaltar que ninguno de nuestros pacientes ha presentado síntomas compatibles con trombosis.
La principal alternativa cuando las venas de drenaje de la cava superior no están disponibles es el implante de un marcapasos epicárdico. En nuestro caso elegimos la estimulación femoral debido al menor riesgo, y para disminuir el número de recambios del generador por mayores umbrales de estimulación de la vía epicárdica1,9.
En conclusión, según nuestra experiencia, el implante de marcapasos definitivo a través del territorio de la femoral es una técnica sencilla y segura, con adecuada tolerancia por el paciente y baja tasa de complicaciones en aquellos pacientes en donde las vías habituales no se encuentran disponibles.




