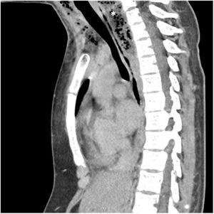
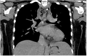
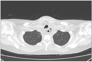
Paciente mujer de 17 años con antecedentes de meningoencefalitis en la infancia sin secuelas, que consultó por un cuadro clínico de una semana de evolución consistente en dolor cervical, odinofagia y fiebre de hasta 39°C. En la exploración física las constantes fueron estables, presentando dolor cervical a la movilización. En la analítica presentó elevación de reactantes de fase aguda. Se realizó una TAC cervical y torácica en la que se observó una gran colección cervical con abundantes burbujas de gas en su interior (figs. 1-3, asteriscos), con extensión hacia el mediastino posterior a través del espacio peligroso retrofaríngeo, hallazgos compatibles con fascitis necrosante y mediastinitis posterior. En las muestras quirúrgicas se cultivó Streptococcus dysgalactiae y S. intermedius. La paciente evolucionó favorablemente con tratamiento antibiótico y drenaje quirúrgico de la colección.
FinanciaciónLos autores no hemos recibido financiación por la realización de este trabajo.





