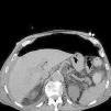
Varón de 78 años ingresado en cuidados intensivos por hematoma subdural con desarrollo de síndrome de distrés respiratorio agudo (SDRA) por neumonía nosocomial y desconexión prolongada de la ventilación mecánica invasiva. Traqueostomizado y precisando gastrostomía percutánea (PG) se inicia ventilación mecánica no invasiva (VMNI) como apoyo en retirada de respirador, desarrollando neumoperitoneo en radiografía de control (fig. 1) de manera asintomática, descartándose perforación de víscera hueca o complicaciones de la PG mediante prueba de imagen con contraste oral (figs. 2 y 3). La VMNI es causa muy infrecuente de neumoperitoneo benigno a tener en cuenta en pacientes ventilados y portadores de gastrostomía. El tratamiento debe ser conservador.
El factor de impacto mide la media del número de citaciones recibidas en un año por trabajos publicados en la publicación durante los dos años anteriores.
© Clarivate Analytics, Journal Citation Reports 2025
SJR es una prestigiosa métrica basada en la idea de que todas las citaciones no son iguales. SJR usa un algoritmo similar al page rank de Google; es una medida cuantitativa y cualitativa al impacto de una publicación.
Ver másSNIP permite comparar el impacto de revistas de diferentes campos temáticos, corrigiendo las diferencias en la probabilidad de ser citado que existe entre revistas de distintas materias.
Ver más





