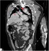
Varón de 49 años con traumatismo toracoabdominal cerrado tras colisión frontal por accidente de tráfico. En la body TAC se objetiva rotura de hemidiafragma derecho con herniación del lóbulo hepático derecho (asterisco) a la cavidad torácica, desplazamiento mediastínico y disección traumática de aorta descendente a la salida de la arteria subclavia izquierda (punta de flecha) en el plano coronal oblicuo (fig. 1) y transversal (fig. 2). Se realizó reducción quirúrgica urgente de la hernia diafragmática y aortografía diferida (fig. 3) con reparación aórtica mediante endoprótesis. La asociación de una rotura hemidiafragmática derecha y una disección aórtica traumáticas es muy inusual. Se asocia a mecanismos de alta energía-desaceleración, son potencialmente mortales y muertes evitables con un diagnóstico y tratamiento precoz.
FinanciaciónEl trabajo no ha requerido financiación.





