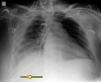
Mujer de 46 años, que ingresó en la UCI por hemorragia subaracnoidea. Como parte del tratamiento habitual, se decidió iniciar tratamiento con nutrición enteral (NE) por sonda nasogástrica (SNG). Se insertó la SNG según refieren sin incidencias. Se realizó Rx de tórax de control y se trasladó la enferma a radiología para realizar una TC toraco-abdominal programada. Al valorar los estudios se apreció en la Rx de tórax el extremo distal de la SNG en cavidad pleural derecha (fig. 1, flecha) que se confirmó con las imágenes de la TC como hallazgo incidental (fig. 2, flechas). Es importante resaltar la necesidad de realizar, antes de iniciar la NE, una Rx de tórax o un control ecográfico, para comprobar la localización del extremo distal en todo paciente al que se le coloca una SNG para nutrición. El no hacerlo puede producir serias complicaciones mecánicas.
Los autores declaran no tener ningún conflicto de intereses




