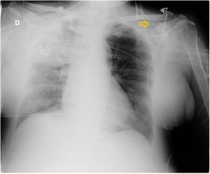
Paciente que ingresa en Unidad de Cuidados Intensivos por neumonía derecha, se canaliza catéter venoso central de inserción periférica (PICC) para tratamiento intravenoso. En radiografía de tórax el catéter no desemboca en aurícula derecha y sigue un trayecto a nivel clavicular (fig. 1). Al 6.° día de ingreso se retira PICC, presentando una celulitis en el cuello a nivel de la yugular izquierda. Realizamos ecografía vascular donde se objetiva una trombosis venosa desde la zona de canalización del PICC en la vena mediana cefálica izquierda (MC), que progresa por la vena cefálica hasta yugular externa por un tramo de comunicación anómala venosa supraclavicular (figs. 2 y 3).
Autoría/colaboradoresLos tres autores, como equipo de trabajo, hemos contribuido de manera similar tanto en el diagnóstico y tratamiento del paciente, como en la elaboración y redacción del manuscrito.





