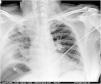
A 49-year-old male presented with no medical history apart from laparoscopic right renal cyst (Bosniak III-IV) removal performed a month ago. He presented to the emergency room with malaise, nonspecific abdominal pain and dyspnea. The initial chest radiographic study (Fig. 1) suggested pneumoperitoneum. The subsequent abdominal CAT scan (Fig. 2) revealed a subphrenic collection with an air-fluid level. Surgery confirmed retroperitoneal right colon perforation. Although retroperitoneal colon perforation is usually associated with retropneumoperitoneum and retroperitoneal abscesses, neither of these conditions were observed in the present case. The patient exclusively presented a subphrenic abscess with an air-fluid level, which additionally produced a false image of pneumoperitoneum on the chest x-ray examination.
Please cite this article as: Rodríguez Gómez M, Domingo Marín S, González Arenas MP. Complicación tras tumorectomía renal: un caso inusual. Med Intensiva. 2024. https://doi.org/10.1016/j.medin.2024.03.012




