A 50-year-old woman reported to the emergency room due to walking instability, right-side body paresis and diplopia with complete involvement of the right third cranial nerve. As to her medical history, the main observation was regular cocaine use for the last 20 years.
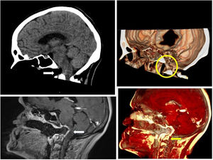
The brain computed tomography scan revealed clivus perforation (white arrow). The magnetic resonance imaging scan in turn also evidenced involvement of the odontoid process (yellow circle and arrow), consistent with regular cocaine use, with an associated abscess that compressed the pons and bulb of the mesencephalon.
Cocaine is known to cause destruction due to vasoconstriction and necrosis of the nasal septum and hard palate, but its effects on the skull base and even the cervical vertebras have been less widely described (Fig. 1).



