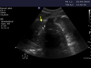
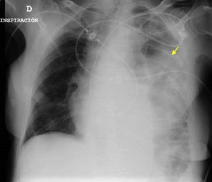
An 85-year-old woman was seen in the emergency room with dizziness following a traffic accident. After a few hours she developed breathing difficulties, desaturation and the absence of vesicular murmur upon auscultation. Pulmonary ultrasound evidenced a “C pattern” in the left hemithorax, with peristaltic motion (Fig. 1), and the chest radiographs (Fig. 2) and thoracoabdominal computed tomography scan (Fig. 3) confirmed the diagnosis of diaphragmatic rupture with bowel loop herniation towards the left thoracic space. Emergency surgical repair was carried out and the patient was discharged from intensive care after 5 days. Diaphragmatic rupture often proves fatal – hence the importance of tools allowing early diagnosis and treatment, since they condition the prognosis in such cases.
Thanks are due to the Department of Intensive Care Medicine of Clínica Rotger.
Please cite this article as: Monge Sola L, Edroso Jarne PE, Vicho Pereira R. Diagnóstico precoz de rotura diafragmática traumática. Med Intensiva. 2021;45:510–511.





