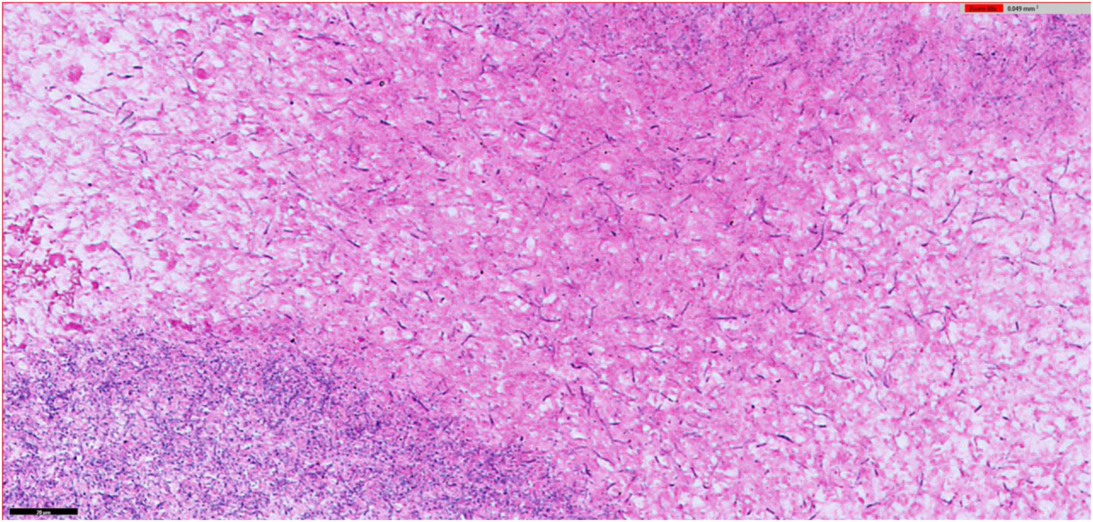
A 63-year-old man with bronchiectasis suffered from respiratory failure status post tracheostomy. He experienced sudden massive hemoptysis requiring an emergent bronchoscopy during admission. After removing a bronchial cast formed by coagulated blood (Fig. 1) in bronchi, no active bleeder was found, and vital signs became stable. However, multiple endobronchial necrotic-like masses containing sulfur granules were found in bilateral sub-branches in the lower bronchi (Fig. 2). The pathological report revealed bacterial colonies with Gram-positive filamentous bacilli and cocci (Fig. 3), suggesting a diagnosis of actinomycosis. Surgical intervention was not recommended after multidisciplinary expert discussion due to poor pulmonary function. The patient received prolonged antibiotic treatment and was successfully weaned from the ventilator.
FundingNone.
None.





