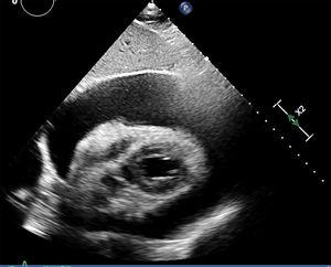
Cholesterol-induced pericarditis is a rare entity. We hereby present the case of an 81-year-old male admitted to our ICU due to severe pericardial effusion with early signs of hemodynamic compromise (Fig. 1). Diagnostic and therapeutic pericardiocentesis was performed that improved the patient's symptoms and his hemodynamic parameters. Around 1500mL of a yellowish fluid were obtained (Fig. 2). Cholesterol crystals, lipid micelles, and inflammatory cells were observed under the optic microscope (Fig. 3). The concentration of cholesterol in the pericardial fluid was higher compared to the patient's blood. Tuberculosis disease and hypothyroidism, rheumatoid arthritis and other systemic infections and autoimmune diseases were all ruled out. Cholesterol crystal are characteristic here and they are indicative of the chronicity of effusion and persistent inflammation of the pericardium. The concentration of cholesterol is usually the same or higher compared to blood. Treatment depends on the underlying disease. In the presence of hemodynamic compromise, we should always perform pericardiocentesis. In most cases, there will be relapses and pericardiectomy will be required.
FundingThe authors declared that they did not receive any funding while conducting this study.
Conflicts of interestNone reported by the authors.
We wish to thank the Hospital Clínico Lozano Blesa Intensive Care Unit and Cardiology Unit.
Please cite this article as: Edroso Jarne PE, Rodríguez García A, Salvador Casabón JM. Pericarditis idiopática por cristales de colesterol. Med Intensiva. 2019;43:519–520.





