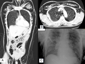
A 57-year-old male with a history of spontaneous pneumothorax 23 years ago was admitted to the Intensive Care Unit following high-energy trauma to the right side of the chest (hit by a car while bicycling). Upon arrival, crepitants were noted from the ocular zone (the patient being unable to open the eye and presenting great dysphonia) to the scrotum and root of the thigh. The patient was stable from the hemodynamic and respiratory perspective, and a full-body CT scan was made, revealing subcutaneous emphysema occupying practically the entire thoracic and abdominal zone, with the dissection of neck muscle layers (Fig. 1A) Bullae were observed in both lung vertexes (Fig. 1B), with multiple right rib fractures. Oxygen therapy and analgesia were provided, and two pleural drains were placed, followed by improvement of the subcutaneous emphysema (Fig. 1C). The clinical course proved favorable, and the patient was discharged from intensive care after a stay of 96h.
Please cite this article as: Chicote Álvarez E, Seabrook Maggio PA, Hernandez Hernandez MA. Enfisema subcutáneo masivo tras traumatismo torácico en paciente con bullas pulmonares. Med Intensiva. 2019;43:325.



