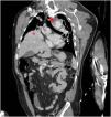
This is the case of a 49-year-old man with closed thoracoabdominal trauma after sustaining a head-on collision in a car crash. The full body CAT scan performed confirmed the presence of a ruptured right hemidiaphragm with herniation of right hepatic lobe (*) towards the thoracic cavity, mediastinal displacement, and traumatic dissection of descending aorta at the ostium of the left subclavian artery ostium (arrowhead) in the oblique coronal (Fig. 1) and cross-sectional views (Fig. 2). An emergency surgical reduction was performed on the diaphragmatic hernia followed by delayed aortography (Fig. 3) with aortic repair through stent-graft implantation. The association between a right hemidiaphragmatic rupture and a traumatic aortic dissection is very rare. A high-energy/deceleration mechanism correlation has been described. These is potentially lethal, but deaths can be avoided with early diagnoses and treatment.
FundingNone whatsoever.





