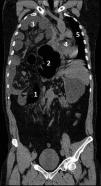
Varón de 49 años, hepatectomizado por quiste hidatídico hace 3 años. Acude a urgencias por dolor intenso en la fosa renal derecha de corta evolución, se realiza analítica: normal; ecografía abdominal: sin hallazgos, y radiografía abdominal (fig. 1): valorada como normal al inicio; tras una revisión describen la ausencia del patrón intestinal, casi en su totalidad, con burbujas aéreas en hipocondrio y fosa ilíaca derechas. Tras estabilización ingresa en planta como cólico nefrítico. A las 24h presenta deterioro clínico, realizándose TC (fig. 2): gran hernia diafragmática (1) con perforación y necrosis del intestino grueso (2) y delgado (3), desplazamiento de todas las vísceras torácicas (4 y 5). En situación de shock séptico refractario se interviene en 3 ocasiones con amplia resección intestinal por isquemia masiva. Mejoría progresiva, actualmente en domicilio, aunque con grave síndrome de intestino corto.
The Impact Factor measures the average number of citations received in a particular year by papers published in the journal during the two preceding years.
© Clarivate Analytics, Journal Citation Reports 2025
SRJ is a prestige metric based on the idea that not all citations are the same. SJR uses a similar algorithm as the Google page rank; it provides a quantitative and qualitative measure of the journal's impact.
See moreSNIP measures contextual citation impact by wighting citations based on the total number of citations in a subject field.
See more




