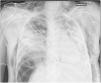
We report the case of a 49-year-old woman with a past medical history of asthma and type 2 diabetes who was admitted to the intensive care unit with diabetic ketoacidosis and bilateral pneumonia due to Klebsiella pneumoniae and required invasive mechanical ventilation. The patient exhibited good initial respiratory progress. However, after 8 days of mechanical ventilation, she developed a spontaneous left pneumothorax, which was drained and the chest drain kept in place. Twenty-four hours later, extubation was attempted, but reintubation was deemed necessary due to weakness and poor secretion management. Following reintubation, the patient exhibited hypotension and acute respiratory failure. A new left pneumothorax was seen, leading to the placement of yet another drainage tube. The thoracic x-ray performed (Fig. 1) revealed the presence of a re-expanded left lung, and a hypodense lesion in the right base and significant subcutaneous emphysema. The CAT scan performed (Fig. 2) with bilateral consolidation confirmed the presence of multiple cavitations consistent with necrotizing pneumonia.
The Impact Factor measures the average number of citations received in a particular year by papers published in the journal during the two preceding years.
© Clarivate Analytics, Journal Citation Reports 2025
SRJ is a prestige metric based on the idea that not all citations are the same. SJR uses a similar algorithm as the Google page rank; it provides a quantitative and qualitative measure of the journal's impact.
See moreSNIP measures contextual citation impact by wighting citations based on the total number of citations in a subject field.
See more




