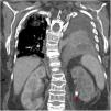
Mujer de 73 años trasladada desde el hospital comarcal con diagnóstico de shock séptico de origen urinario secundario a cólico renoureteral complicado (fig. 1, flecha roja) con absceso renal (fig. 2, flecha blanca) y neumonía abscesificada en base izquierda (fig. 2, flecha naranja) para control de foco. Comentado el caso con radiología vascular intervencionista, primero se realizó nefrostomía percutánea izquierda y posteriormente le colocaron drenaje en absceso de polo superior de riñón izquierdo aspirando contenido aéreo. Al infiltrar contraste, este evidenció la existencia de fístula renobronquial. En el abscesograma (fig. 3) puede objetivarse contraste en polo superior de riñón izquierdo (flecha blanca), lóbulo inferior de pulmón izquierdo (flecha naranja), árbol bronquial y bronquio principal izquierdo (flecha amarilla). Desde un primer momento la paciente recibió antibioterapia de amplio espectro con cultivos microbiológicos negativos.
El factor de impacto mide la media del número de citaciones recibidas en un año por trabajos publicados en la publicación durante los dos años anteriores.
© Clarivate Analytics, Journal Citation Reports 2025
SJR es una prestigiosa métrica basada en la idea de que todas las citaciones no son iguales. SJR usa un algoritmo similar al page rank de Google; es una medida cuantitativa y cualitativa al impacto de una publicación.
Ver másSNIP permite comparar el impacto de revistas de diferentes campos temáticos, corrigiendo las diferencias en la probabilidad de ser citado que existe entre revistas de distintas materias.
Ver más





