Editado por: el Dr. Juan Antonio Llompart Pou
Médico especialista en Medicina Intensiva, Doctor en Ciencias de la Salud por la Universitat Illes Balears. Servicio de Medicina Intensiva, UCI Trauma y Neurocríticos, Hospital Universitari Son Espases. Palma, España.
Última actualización: Noviembre 2025
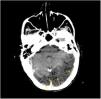
Más datosMujer de 72 años con tos crónica por enfermedad pulmonar intersticial severa y fibrosis. Fue encontrada al despertar en coma, escala de coma de Glasgow 3, desviación de la mirada a la izquierda, hipotonía generalizada, pupilas anisocóricas con midriasis derecha, TC de tórax: pequeño neumotórax apical izquierdo y presencia de aire ectópico en mediastino superior (flechas) (fig. 1), TC cerebral: numerosas burbujas aéreas que se disponen en los surcos cerebrales (flechas), así como áreas hipodensas córtico-subcorticales de distribución parcheadas en áreas parietooccipitales bilaterales (fig. 2). El mecanismo implicado que podría explicar nuestro caso (en ausencia de foramen oval permeable) sería el shunt intrapulmonar. Un aumento brusco de la presión intratorácica por maniobras de Valsalva junto con la producción del neumotórax y el neumomediastino sobre un pulmón patológico podría facilitar el paso de aire a las venas pulmonares y de ahí al sistema circulatorio izquierdo provocando embolismos aéreos en el cerebro.
Consideraciones éticasSe obtuvo el consentimiento informado por escrito del paciente para usar las imágenes conforme a la reglamentación del centro.
FinanciaciónNo se ha precisado de financiación.




