INTRODUCCION
Listeria es una bacteria grampositiva, anaerobia facultativa, con 6 especies, de las cuales sólo L. monocytogenes es importante como patógeno humano1. Es un organismo ubicuo que puede encontrarse en el suelo y aguas residuales así como en una amplia variedad de plantas y animales usados habitualmente para el consumo humano (carne de cerdo, pollo, ganado vacuno, leche no pasteurizada, paté, etc.)2,3.
La exposición a L. monocytogenes suele ser a través de la ingesta. La colonización del tracto gastrointestinal es bastante común (puede ser aislado en heces hasta en un 70% de las personas sanas y en un 44% de las mujeres con un embarazo normal)4.
La listeriosis es una enfermedad que raramente afecta a individuos inmunocompetentes. Suele afectar a los pacientes inmunodeprimidos (sida, oncológicos, trasplantados, cirróticos, etc.) así como a embarazadas y neonatos, donde también se ha observado una disminución de la inmunidad celular2,3,5,6. La incidencia de listeriosis en la población general es 0,7 por 100.000 y en las mujeres gestantes, 12 por 100.0007, siendo la mayoría de los casos esporádicos, con algunos brotes epidémicos ocasionales.
Las consecuencias de la listeriosis durante el embarazo suelen ser graves, fundamentalmente para el feto, siendo frecuentes los abortos. En caso de producirse el nacimiento, la infección precoz, es decir, la que aparece en los 4 primeros días de vida, puede ocasionar una mortalidad neonatal del 63%2. Los cultivos positivos vaginales de gestantes sanas son muy raros (0,097%-0,13%)2, pero en la listeriosis perinatal aumentan hasta un 46,7%2.
Presentamos un caso de listeriosis en una gestante, diagnosticada 10 días después del comienzo de los síntomas y que cursó con muerte fetal intraútero.
CASO CLINICO
Se trata de una mujer de 35 años, en su segundo embarazo en la semana 25, con antecedentes de neumonía bacteriana comunitaria durante su primer embarazo. Tres días antes de su ingreso acudió a otro hospital por un cuadro febril, donde se descartó una infección respiratoria y se prescribió ceftriaxona.
Ante la persistencia de la fiebre, de 10 días de evolución, con repercusión hemodinámica, ingresó en la Unidad de Cuidados Intensivos (UCI) de nuestro hospital. Presentaba astenia, mal estado general y cefalea. La presión arterial era 85/50 mmHg, su frecuencia cardíaca 120 latidos/min, su frecuencia respiratoria 16/min y su temperatura 38,8 °C. Estaba consciente, orientada, bien hidratada y perfundida, siendo el resto de la exploración normal. En la analítica destacaba en plasma: glucosa, urea, creatinina e iones, normales. La cifra de leucocitos era 11.470/µl (N 73%, L 21%, M 3,5%), la hemoglobina era 9,2 g/dl, el hematocrito 25%, las plaquetas 430.000/µl. Las proteínas totales en plasma eran 6,22 g/dl, gammaoxalatotransaminasa (GOT) 17 U/l y gammaglutamiltranspeptidasa (GPT) 35 U/l. El estudio de coagulación era normal. La analítica de orina y sedimento eran normales. La radiografía de tórax y electrocardiograma (ECG) eran normales.
Se estabilizó hemodinámicamente con el aporte de fluidos y la fiebre cedió con paracetamol. Se extrajeron hemocultivos seriados y cultivo del exudado vaginal, y se practicó una ecografía obstétrica que mostró un feto inmóvil, "apelotonado", en posición cefálica, sin latido cardíaco, con doble halo cefálico, acabalgamiento y halo abdominal. El líquido amniótico era normal. Ante el hallazgo de muerte fetal, se procedió a la inducción del parto con prostaglandinas, lográndose a las escasas horas la expulsión en bloque de un feto hembra, acorde con el tiempo de amenorrea y con una morfología normal.
El hemocultivo resultó positivo para Listeria monocytogenes, no así el cultivo del exudado vaginal, y se instauró tratamiento con ampicilina. Durante su estancia presentó picos febriles de 38,5° C, sin repercusión clínica importante. El curso clínico posterior evolucionó sin fiebre y con estabilidad hemodinámica, permitiendo el alta hospitalaria al quinto día de estancia.
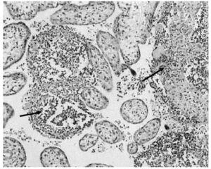
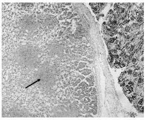
El informe anatomopatológico del feto objetivó la presencia de microabscesos viscerales por infección por Listeria (fig.1). En la placenta se apreciaron también microabscesos inter-intravellositarios (fig. 2).
Figura 1. Microabscesos por infección de L. monocytogenes en la glándula suprarrenal. Hematoxilina-eosina. 10X.
Figura 2. Microabscesos intra e intervellositarios de placenta. Hematoxilina-eosina. 20X.
COMENTARIOS
Nuestra paciente no presentaba ningún factor de riesgo para el desarrollo de enfermedad por Listeria, salvo la situación inmunológica típica del embarazo. No encontramos datos epidemiológicos sobre el origen de la infección, aunque el tracto gastrointestinal es un reservorio habitual de Listeria. En los casos esporádicos, como el que tratamos, la identificación del vector alimenticio es mucho más difícil, ya que el período de incubación es prolongado, de 11 a 71 días (mediana 31 días)3.
La transmisión al feto de Listeria en nuestra paciente debió ocurrir por vía transplacentaria a través de la sangre materna, ya que la negatividad del cultivo del exudado vaginal descartó la vía ascendente desde la vagina contaminada o la transmisión al feto a su paso por el canal del parto2,6. A pesar de la baja incidencia de portadoras sanas de Listeria a nivel genital, éste debe ser un elemento a tener en cuenta, ya que podría tratarse de un factor predisponente a padecer abortos de repetición6.
Durante el embarazo, la listeriosis puede producirse en cualquier momento de la gestación, aunque suele ser más frecuente en el tercer trimestre. Cursa, habitualmente, de forma inespecífica, como un cuadro pseudogripal, con fiebre, artromialgias y cefalea, síntomas presentes en nuestra paciente. En cambio, estuvieron ausentes los síntomas gastrointestinales y los derivados de la infección del sistema nervioso, más raros durante el embarazo1,6,8. Generalmente, el cuadro es autolimitado, con lo que la mayoría de las veces no llega a diagnosticarse1 y, si se diagnostica, es por un alto índice de sospecha, confirmándose mediante cultivos de sangre, orina, tapón cervical o líquido amniótico. En nuestro caso, se obtuvo mediante la técnica más habitual, el hemocultivo, que debería ser considerado siempre en las gestantes que presentan un cuadro pseudogripal1,3.
La antibioticoterapia precoz podría tratar la listeriosis fetal intraútero, previniendo sus frecuentes complicaciones: aborto, partos prematuros y la listeriosis neonatal, proceso con mortalidad muy elevada3. Cruikshan y Warenski describieron un caso de corioamnionitis por Listeria que respondió a altas dosis de ampicilina y gentamicina, seguido de dos semanas de tratamiento con trimetroprim-sulfametoxazole, naciendo el niño a término y sano9. Posteriormente, se han publicado otros casos de listeriosis en gestantes con neonatos sanos tras la terapia antibiótica adecuada6,8,10. En el caso expuesto, el tratamiento antibiótico se inició al conocerse el resultado del hemocultivo; sin embargo, probablemente la evolución del cuadro (10 días) fue demasiado prolongada, resultando ineficaz el tratamiento y abocando a la muerte fetal intraútero. Mylonakis et al presentaron una serie de 11 casos de listeriosis en la que sólo tres fueron diagnosticados preparto. En la revisión de la literatura de este mismo autor, el tiempo medio de diagnóstico desde el inicio de los síntomas fue 6,6 días (rango 1-21 días)6.
El trimetroprim-sulfametoxazole sería probablemente el tratamiento más efectivo dada las altas concentraciones intracelulares que alcanza, pero debido a sus potenciales efectos teratogénicos fue evitado, aunque la gestación de la paciente estaba en el segundo trimestre. Se considera que el tratamiento de elección es la ampicilina, fundamentalmente, y la penicilina a altas dosis durante el embarazo, y así se hizo en nuestra paciente1-3,6.
La terapia profiláctica no se recomienda ni siquiera en caso de epidemias y grupos de alto riesgo3, aunque algunos autores consideran que su uso sería prudente en inmunodeprimidos para prevenir la enfermedad invasiva3. En cualquier caso, la mejor profilaxis consiste en un adecuado control epidemiológico y en la eliminación de los reservorios alimenticios2.




