CASO CLINICO
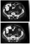
Se trata de un paciente fumador y bebedor, diagnosticado de colon irritable con dos brotes anuales tratados con septrim. Acude a urgencias de un hospital comarcal por cuadro diarreico y febrícula de 3-4 semanas de evolución que se autotrata con Septrim. En las últimas 24 horas presentaba fiebre de 38° C y dolor en fosa ilíaca izquierda. Queda ingresado en dicho centro presentando a las 24 horas inestabilidad hemodinámica, leucopenia y plaquetopenia severas. Se realiza tomografía axial computarizada (TAC) abdominal (figs. 1 y 2) en la que se aprecia un engrosamiento de sigma y colon izquierdo con cambios inflamatorios compatibles con diverticulitis aguda, presenta además aire en vena mesentérica inferior y en todo el eje esplenoportal, sugestivo de pileflebitis. Se inicia tratamiento con inotrópicos (dopamina, dobutamina y noradrenalina) y antibióticos (gentamicina, imipenem y metronidazol) y es remitido a nuestra unidad.
Figura 1. Presencia de gas en sistema venoso portal y vena mesentérica inferior.
Figura 2. Engrosamiento de sigma con cambios inflamatorios compatibles con diverticulitis.
Al ingreso en Unidad de Vigilancia Intensiva (UVI) presentaba una presión arterial de 105/60 mmHg una frecuencia cardíaca de 115 lpm y una Sat02 del 96% con oxígeno a través de gafas nasales. Estaba consciente, orientado, sin focalidad neurológica, sudoroso, caliente, taquipneico e ictérico. El abdomen era doloroso a la palpación de forma difusa y ligeramente distendido, sin ruidos peristálticos, siendo el resto de la exploración física normal. En la analítica destacaba una cifra de leucocitos de 3.400/microl con desviación izquierda, una cifra de plaquetas de 11.800/microl, con una serie roja y estudio de coagulación normales. También presentaba creatinina de 2,6 mg/dl, urea 83 mg/dl, gammaglutamiltranspeptidasa (GGT) 93 U/l, gammaoxalatotransaminasa (GOT) 217 U/l, gammaglutamiltranspeptidasa (GPT) 133 U/l, bilirrubina total 8,62 mg/dl, bilirrubina directa 7,86 mg/dl, iones, glucosa y amilasa normales. La radiografía de tórax era normal y el electrocardiograma mostraba taquicardia sinusal.
Se mantuvo el tratamiento inotrópico y antibiótico iniciado en el hospital comarcal, se le trasfundieron plaquetas, se inició nutrición parenteral y una vez que la cifra de plaquetas se empezó a normalizar se asoció enoxaparina 40 mg/12 h por vía subcutánea. Valorado por el servicio de cirugía, no se consideró indicado el tratamiento quirúrgico. A las 24 horas presentó insuficiencia respiratoria requiriendo intubación orotraqueal con patrón alveolar bilateral en radiografía de tórax. A las 48 horas se obtienen hemocultivos positivos a Escherichia coli y posteriormente a enterococcus sp. por lo que se suspenden el metronidazol y la gentamicina, se mantiene el imipenem y se asocia vancomicina. La evolución es favorable desapareciendo la fiebre, mejorando la hemodinámica, la función renal y respiratoria, lo que permitió la retirada progresiva de los inotropos y la extubación a los 14 días del ingreso. Es dado de alta a planta tres días más tarde. En la TAC al alta se objetiva una evolución favorable de la diverticulitis y desaparición del gas portal. Se realizó también una ecografía doppler del sistema porta que resultó normal. Siete días más tarde el paciente recibe el alta hospitalaria.
DISCUSION
La pileflebitis o trombosis infecciosa de la vena porta es una complicación poco frecuente de algunas infecciones intraabdominales pero con una significativa morbimortalidad1.
La pileflebitis puede complicar cualquier infección abdominal o pélvica que ocurre en la región drenada por el sistema venoso portal, especialmente diverticulitis, como en nuestro caso, y menos frecuentemente apendicitis, colangitis o enfermedad intestinal inflamatoria2,3. Aunque la causa más común de pileflebitis es la diverticulitis, la pileflebitis es una complicación rara de la diverticulitis. Algunos casos se asocian a alteraciones de la coagulación, déficits de factores4, enfermedades malignas o sida5,6.
Puede dar lugar a complicaciones importantes como trombosis de la vena porta o sus ramas. En algunos estudios hasta en un 34% de casos estaba afectada la vena mesentérica superior, lo cual puede dar lugar a una isquemia intestinal. La hipertensión portal y los abscesos hepáticos pueden ser otras complicaciones de esta enfermedad1,7,8.
Según las series, en un 23%-88% de casos existe bacteriemia, generalmente polimicrobiana. Los gérmenes más frecuentemente aislados son Bacteroides fragilis seguidos de bacilos gramnegativos aerobios1,6. El Enterococcus sp., aislado en nuestro caso, es poco frecuente en esta patología.
En cuanto a la clínica, el dolor abdominal y la fiebre son los síntomas más comunes, según las series su frecuencia varía entre un 75%-100% de casos1,2. Entre los signos clínicos se encuentran la defensa abdominal en hipocondrio derecho o generalizada, hepatomegalia e ictericia, esta última es inusual a no ser que se asocie a colangitis. Nuestro paciente presentó ictericia sin colangitis además del resto de signos y síntomas comentados.
El diagnóstico de la pileflebitis requiere la demostración de trombosis venosa portal o existencia de gas en sistema portal generalmente acompañada de bacteriemia en paciente febril. Dado que es una entidad poco frecuente, con signos y síntomas inespecíficos, el diagnóstico con frecuencia se retrasa empeorando así el pronóstico de la enfermedad. La analítica puede mostrar tanto leucocitosis como leucopenia. Son frecuentes las alteraciones de enzimas hepáticas con elevación moderada de las cifras de fosfatasa alcalina, GGT y en algunos casos de bilirrubina6. La TAC y la ecografía son las técnicas que más han facilitado el diagnóstico. La ecografía puede mostrar material ecogénico en la luz portal y ayuda a valorar la progresión del trombo o su recanalización. La TAC puede mostrar la trombosis o, menos frecuentemente, gas portal y ayudar a definir el foco inicial de infección como ocurrió en nuestro paciente2,9.
Por último, respecto al tratamiento, los antibióticos constituyen el elemento principal, deben ser de amplio espectro ya que como hemos comentado la infección suele ser polimicrobiana e incluye con frecuencia Bacteroides fragilis y gramnegativos aerobios. La duración del tratamiento no está clara, según los autores varía entre 2 y 4 semanas. En caso de que existan abscesos hepáticos debe prolongarse hasta 6 semanas1,2,6,7. El papel de la anticoagulación es controvertido10,11, ya que no existen estudios concluyentes. La mayoría de los autores recomiendan la anticoagulación si existe un estado de hipercoagulabilidad, afectación de vena mesentérica superior por el riesgo de isquemia intestinal, si existe extensión de la trombosis o fiebre persistente que no responde al tratamiento antibiótico2,7,12. En nuestro caso, se decidió la utilización de heparina de bajo peso molecular una vez corregida la plaquetopenia, el paciente no presentó complicaciones hemorrágicas y el resultado final fue satisfactorio.
La cirugía normalmente no se utiliza en el manejo de la pileflebitis aunque en ocasiones se requiere drenado del foco precipitante. Se han descrito casos de colocación de catéter de drenaje en vena porta con buenos resultados13.
A pesar de todo la mortalidad es elevada (11%-32%)6,12.




