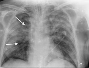
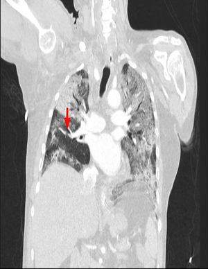
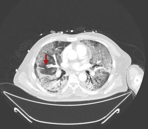
Paciente de 64 años, como único antecedente personal hipertenso, ingresa en la UCI con diagnóstico de SDRA grave secundario a neumonía bilateral por COVID-19. En radiografía de tórax se observa un patrón alveolointersticial bilateral que afecta más al pulmón derecho, sobre todo al campo medio (fig. 1, indicadores flechas). En la analítica destaca un dímero D muy elevado (28.970ng/ml) y ante la sospecha de TEP se realiza ecocardiografía transtorácica apreciándose sobrecarga de presión de VD con signo de McConnell positivo. Dado los hallazgos ecocardiógrafos, se inició tratamiento anticoagulante con heparina de bajo peso molecular (enoxaparina 1mg/kg/cada 12h) y se solicitó angio-TAC torácica para confirmación diagnóstica, evidenciándose defecto de repleción en arteria del segmento lateral del lóbulo medio (flechas en figuras 2 y 3) en relación con TEP. Además existe una afectación difusa bilateral y extensas áreas de patrón en empedrado en relación con el proceso infeccioso vírico (figs. 2 y 3). Se mantuvo el tratamiento anticoagulante hasta el alta sin complicaciones hemorrágicas asociadas.
El factor de impacto mide la media del número de citaciones recibidas en un año por trabajos publicados en la publicación durante los dos años anteriores.
© Clarivate Analytics, Journal Citation Reports 2025
SJR es una prestigiosa métrica basada en la idea de que todas las citaciones no son iguales. SJR usa un algoritmo similar al page rank de Google; es una medida cuantitativa y cualitativa al impacto de una publicación.
Ver másSNIP permite comparar el impacto de revistas de diferentes campos temáticos, corrigiendo las diferencias en la probabilidad de ser citado que existe entre revistas de distintas materias.
Ver másEl número medio de días que tarda un artículo desde su envío hasta la primera decisión editorial.
Ver más





