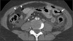
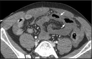
A 31-year-old male was taken to the emergency service of our hospital with multiple trauma caused by a traffic accident. The whole body CT scan revealed hemoperitoneum, slight pneumoperitoneum and diffuse intestinal loop thickening (Fig. 1), Intravenous contrast (IVC) uptake was seen to be absent in a jejunal loop, consistent with hypoperfusion (Fig. 2), and intestinal perforation foci (Fig. 1). Emergency surgery confirmed the ischemic loop secondary to the avulsion of small-caliber mesenteric vessels. The avulsion of mesenteric vessels secondary to closed abdominal trauma is infrequent, particularly in the absence of associated solid organ damage. Although mesenteric hematoma and the extravasation of IVC constitute more specific signs, the condition should be suspected in the presence of an intestinal segment showing hypoperfusion with a thickened wall, pneumoperitoneum and hemoperitoneum without solid organ damage.
Please cite this article as: García-Espinosa J, Martínez-Martínez A, Díez-Vigil JL. Isquemia intestinal secundaria a avulsión de los vasos mesentéricos en traumatismo abdominal. Med Intensiva. 2017;41:326.




