Ingresa en la Unidad de Cuidados Intensivos una paciente por dehiscencia de sutura precoz durante el postoperatorio de una miotomía quirúrgica por divertículo esofágico. Se coloca por vía endoscópica una prótesis metálica autoexpandible en la región dehiscente.
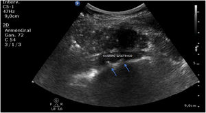
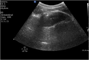
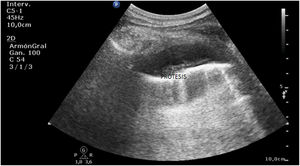
A las pocas horas, en el control sonográfico, se puede apreciar la endoprótesis (fig. 1) con sus pinzas (flechas en la figura 2) en la región del cuerpo gástrico, en la ventana esplenorrenal. A través de una endoscopia se recoloca la prótesis hasta su correcta ubicación. En seguimiento por ecografía, se comprueba la desaparición del dispositivo en el cuerpo del estómago (fig. 3).





